
Tout le monde ne sait pas ce qu'est l'arthrose, à cause de cela, les gens sont confus dans les méthodes de traitement et ne comprennent pas les principes du diagnostic de pathologie. L'arthrose est un viol de distribution sévère qui provoque la blessure des tissus du cartilage dans la cavité intra-articulaire. La complexité de la thérapie est associée à l'irréversibilité des processus, un remède complet ne peut pas être obtenu dans le cadre de la médecine moderne, mais la gravité des symptômes peut être réduite et la progression de la pathologie peut diminuer. Avec un traitement approprié, une personne poursuit le mode de vie habituel pendant longtemps.
Qu'est-ce que l'arthrose?
De la même manière, il est plus simple que pour la maladie que l'arthrose est une maladie d'articulation qui provoque la restriction de l'amplitude du mouvement et de la douleur. Dans la première étape des dégâts, il n'y a pas de manifestations, ils ont une légère gravité et un lavage. Peu à peu, la pathologie progresse, cela est facilité par des changements liés à l'âge dans le corps, le stress, les blessures, etc. Selon les statistiques, environ 80% de la population de plus de 60 ans d'arthrose.
L'arthrose de l'articulation est développée pendant longtemps, n'affecte initialement que le cartilage hyalin, puis se propage aux os, implique la couche synoviale, les muscles et toute la capsule articulaire. Au premier ou au début de l'arthrose, la lésion se manifeste légèrement: petite douleur après travail acharné, gonflement, rougeur de la peau. En raison de l'ignorance des sensations inconfortables, l'articulation est déformée, enflammée, apporte une douleur intense, ses chutes de pointe le matin. La maladie se caractérise par la disparition de la douleur après le développement de l'articulation. Sinon, une personne perd complètement la mobilité de l'articulation.

Il existe une forme primaire et secondaire d'arthrose. La pseudo-arthrose (néo-arthrose) se distingue également, peu de gens savent ce que c'est, car il est formé moins fréquemment que les autres variétés. La néoarthrose est une fausse articulation, donc le tissu du cartilage augmente dans un endroit inhabituel où les dommages ont été obtenus. Il est difficile à traiter, principalement chirurgicalement.
Il y a une pathologie due aux troubles de la fonction régénérative, à l'immunité ou aux dommages mécaniques. En raison de plusieurs causes de cartilage, elle devient plus mince. Dans des conditions normales, le tissu du cartilage reçoit une nutrition suffisante pour la récupération, mais après un effort physique excessif ou en raison d'une violation des processus métaboliques, les tissus n'ont pas le temps de se régénérer. Dans la première étape, la mobilité conjointe demeure. Après avoir considéré ce qu'est l'arthrose en tant que définition, cela vaut la peine d'être approfondi dans le développement de la pathologie.
Le mécanisme de développement de l'arthrose, ses types
De nombreuses variétés d'arthrose sont développées en fonction d'un schéma similaire:
- La lésion primaire affecte le cartilage hyalin. En cas de troubles circulatoires, la détérioration du pouvoir pathologique se produit. Il s'agit de la première étape ou de la cause, qui peut se produire de l'arthrose.
- Pathologies de revêtement Hyalin. La minceur du cartilage conduit au remplacement de ses tissus pathologiques: les structures osseuses.
- Des croissances anormales apparaissent dans le cartilage - ostéophytes.
- La violation de l'anatomie naturelle du cartilage et des os provoque la surcharge de zones de cartilage saines. La destruction des tissus conjoints sans traitement progresse constamment et conduit à l'invalidité.
Lorsque le degré de maladie augmente, les processus pathologiques sont encore aggravés. En fin de compte, l'ensemble du cartilage Hyalin est détruit.
Le dernier degré de la maladie conduit à:
- Participation au processus pathologique des os, en dessous et au-dessus des surfaces cartilagineuses;
- L'irritation d'une couverture articulaire, ce qui limite la mobilité, ce qui conduit à un handicap de 2 degrés;
- augmentation de la densité de la capsule;
- Réduire l'écart dans l'écart articulaire, qui devient remarquable dans l'image. Le stade de viol est déterminé par le diagnostic-tentnologue. Le patient ressent la complexité ou l'incapacité de redresser et de plier complètement le membre;
- Déformation articulaire, le cartilage acquiert une forme irrégulière, courbure provocante;
- Détérioration de l'état du patient avec la destruction complète de l'articulation.
Étapes de l'arthrose
La maladie articulaire a 3 étapes de développement:

- 1 grade. Les troubles morphologiques ont déjà commencé, mais ils ne sont pas encore notables. La pathologie affecte principalement l'état du liquide synovial, qui fournit le pire des tissus du cartilage avec des composants nutritifs, réduisant la résistance au cartilage. La charge dans les articulations provoque une inflammation et une douleur.
- Étape 2. En raison de la carence en approvisionnement, les cartouches nécessaires sont détruites, une croissance osseuse se forme sur la surface du cartilage. Les douleurs acquièrent un caractère plus prononcé, intensifié après une longue pause, sont éliminés par un petit travail physique. La douleur s'accompagne d'une inflammation. Les muscles s'étirent, ce qui conduit à des fonctions motrices faibles ou moyennes.
- 3 degrés. Il y a souvent de la douleur, il est difficile de déplacer le membre en raison de changements dans l'articulation. Les lésions sont étendues, elles deviennent notables à l'apparence nue. La déformation du site conjoint se produit, la zone affectée gonfle et devient rouge. L'axe du membre est perturbé, ce qui conduit à la complexité du mouvement. Les changements pathologiques provoquent un raccourcissement des ligaments. Subhatus et les contractures apparaissent. Les muscles adjacents sont raccourcis ou étirés, dont la fonction contractile s'affaiblit.
Causes et facteurs de risque pour le développement de l'arthrose
Les causes de l'arthrose des articulations diffèrent en fonction de la forme de pathologie. L'arthrohrose déformant de l'articulation du coude, de l'articulation de la cheville et de l'arthrose épaule se développent parfois sans causes remarquables, il est possible de les détecter avec un médecin, un spécialiste de la rhumatologie. Si le problème n'a pas été précédé de pathologies visibles, la maladie est appelée primaire. La forme secondaire de violation est principalement diagnostiquée, elle peut provoquer plusieurs États.
Les principales raisons du développement:
- Dommages mécaniques: luxations, fractures, étirement, blessures au ménisque;
- Plusieurs troubles endocriniens associés au dysfonctionnement du travail d'immunité;
- Pathologies du métabolisme;
- dysplasie (anomalies congénitales des tissus articulaires);
- a subi une inflammation des articulations;
- Pathologies qui conduisent à une forte mobilité conjointe et à un affaiblissement du ligament.
Les patients atteints d'arthrose ont souvent trouvé une maladie due à des facteurs prédisposants:
- changements liés à l'âge;
- Léger et augmentation de l'IMC. La charge élevée dans la planche conduit à une usure conjointe rapide;
- manque de substances bénéfiques;
- Charge excessive dans les joints. La raison est une formation intense, des sports, un travail physique dur;
- Des conditions de travail difficiles ou une approche incorrecte des sports. S'il existe des antécédents de tendance génétique aux dommages, des blessures articulaires ou des maladies similaires, il est important d'adhérer à un programme de formation spécial, en évitant des exercices traumatisants et difficiles;
- La période postopératoire de récupération ou les opérations complexes a été transmise associée à la division d'une grande partie des tissus affectés. Ces états affectent négativement la douceur et la résistance du cartilage, la charge doit être minimisée en elles;
- Tendance génétique, l'arthrose est plus fréquemment diagnostiquée chez les patients qui ont des parents ayant la même pathologie;
- Le stade de la postménopause se produit chez les femmes depuis environ 50 ans, est associé à des changements dans le système endocrinien;
- l'effet destructeur des toxines;
- mauvaise situation environnementale dans la région de la résidence;
- Des dommages fréquents à l'articulation, parfois les micriects n'apparaissent pas depuis longtemps;
- hypothermie;
- Pathologie de la partie lombaire et cervicale de la colonne vertébrale.
Ostéoarthrite primaire

L'arthrose primaire est indépendante, c'est-à-dire sans l'influence d'une cause interne ou externe. La défaite se développe à travers le cartilage de Hyalin assez lentement. Il est rarement diagnostiqué, ne représente que 3 à 5% de tous les cas.
Arthrose secondaire
L'arthrose secondaire est plus fréquemment détectée par ordre de 95 à 96% des cas. Ils sont causés par l'une des pathologies précédentes.
Signes et symptômes de l'arthrose
Les manifestations de la maladie diffèrent peu en fonction de l'emplacement, les signes se reflètent plus fréquemment sur les genoux, les épaules et les articulations de la hanche, en raison de la charge élevée.
La plupart des plaintes sont réduites à:
- douleur. Ils ont une faible gravité au stade initial, l'aggravation de l'état de sensation s'intensifie. Initialement, les articulations ne font mal qu'après le réveil, après une lumière chaude, les sensations disparaissent. Au fil du temps, la douleur apparaît la nuit, ils dérangent beaucoup pendant et après la marche, la course, etc. Dans la dernière étape, le syndrome de la douleur poursuit une personne tout le temps;
- Mouvements limités de mouvements. La rigidité des actions indique des changements anatomiques dans la structure. Au début, il se manifeste le matin, puis les mouvements quotidiens sont limités. Afin de ne pas provoquer l'aggravation de la condition, le travail doit être diversifié et léger, sinon, le patient ne peut pas débloquer et presser le membre au fil du temps. Au fil du temps, il y a un risque de contrat, dont une personne perd la capacité motrice;
- Corona pendant les mouvements: il appartient aux manifestations non spécifiques de l'arthrose. La maladie se caractérise par l'apparition d'un croquant dans une seule articulation (sauf les polyarters), accompagnée d'inconfort, de douleur et d'actions limitées. La nature du courant est similaire à la vague: au début, elle se manifeste faiblement, s'intensifie progressivement, mais en 3 étapes disparaissent;
- rougeur de rougeur. Il est situé près de l'articulation malade, cela indique un processus inflammatoire et une progression de la maladie. Le médecin comprend que la couverture synoviale est affectée, ce qui provoque l'accumulation de liquide et une douleur accrue;
déformations des membres. Il apparaît d'une manière imprudente de la maladie, indique la destruction complète du tissu du cartilage et l'apparition d'ostéophytes. Dans cet état, la pression sur les articulations de la partie supérieure et inférieure augmente, à partir de laquelle la courbure peut affecter le membre entier.
Il est important de se rappeler que la déformation des os dans la jambe est souvent confondue avec le maïs. Le symptôme n'est pas très dangereux à première vue, mais entraîne de graves conséquences.
Complications
Initialement, des méthodes de thérapie conservatrices sont utilisées pour le traitement. S'ils sont inefficaces ou si le patient a ignoré les recommandations du médecin, il y a un risque de conséquences.
Complications possibles:
- L'articulation est complètement détruite;
- Le membre est immobilisé, tout mouvement devient extrêmement difficile;
- hernies intervertébrales;
- invalidité;
- Forte déformation de l'articulation ou du membre entier.
Diagnostic d'arthrose
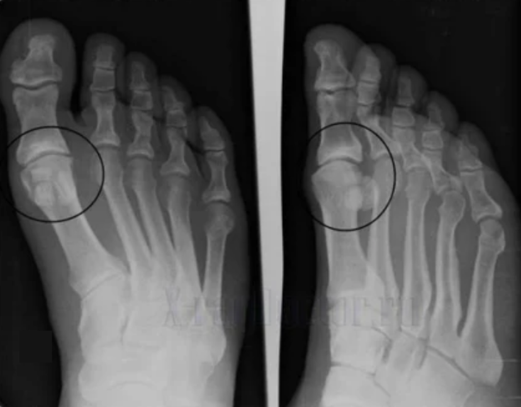
Pour faire un diagnostic, les rhumatologues étudient les plaintes du patient et prescrivent un examen des rayons x. La plupart du temps, la radiographie est utilisée dans 2 projections. Le médecin analyse la présence de troubles de distribution dans le cartilage hyalin et les articulations osseuses. Si l'espace articulaire est réduit, les os sont retardés ou aplatis, il existe des formations kystiques sur la surface du cartilage, les ostéophytes sont des signes évidents d'arthrose. Au cours de l'inspection, l'arthrose indique l'instabilité de l'articulation: l'axe des membres et la subluxation est modifié.

Souvent, une image x ne peut pas fournir des informations complètes sur l'état de l'articulation. Pour une étude plus approfondie, la tomographie informatisée est prescrite, il est efficace d'examiner les os. La résonance magnétique est plus fréquemment utilisée pour étudier les tissus mous.
Pendant le diagnostic, la participation d'autres spécialistes qui aidera à déterminer la cause profonde de la pathologie est pratiquée. Ils recourent souvent à la consultation d'un hématologue, endocrinologue, gynécologue, orthopédique.
Traitement moderne
Il existe des centaines de formes de thérapie d'arthrose, mais toutes sont réduites à une série de méthodes:
- Traitement pharmacologique La tâche principale est de lutter contre les symptômes et d'éviter un plus grand développement d'une violation. La plupart du temps, les analgésiques sont utilisés pour soulager la douleur, les médicaments anti-inflammatoires non stéroïdiens pour lutter contre l'inflammation, les médicaments hormonaux sont prescrits pour une douleur intense et une inflammation aiguë. Chaque cours est basé sur des condoprotecteurs qui protègent les tissus du cartilage contre la destruction, des substances naturelles sont utilisées pour la fabrication;
- physiothérapie. Il améliore l'efficacité des médicaments, se bat avec l'inflammation, soulage les symptômes, accélère la régénération tissulaire. Thérapie ultrasonique, électrique, magnétique, magnétique et laser. Cela comprend également des bains de boue, des applications avec des matériaux naturels, des bains de radon;
- Éducation physique médicale. Il est utile autant qu'une prévention et la facilitation de la condition. Après les bons exercices physiques, il est possible d'éliminer complètement la douleur. Il est utile de visiter la piscine, de participer au yoga et de marcher souvent;
- Thérapie manuelle, le massage aidera le traitement de la maladie, car ils contribuent à la prévention de la courbure des articulations. Après les lésions, le thérapeute manuel peut niveler l'articulation, évitant sa fixation en mauvaise position. Après le massage, le tonus musculaire est amélioré, la circulation sanguine accélère;
- Nutrition adéquate. Une alimentation saine aidera à enrichir le corps des nutriments nutritionnels et à réduire le poids corporel. Une grande masse augmente l'usure des articulations;
- Le traitement du Sanatorium Resort renforcera les articulations. Dans le cadre de la guérison, le sanatorium de la balneothérapie, la thérapie d'exercice, les procédures physiothérapeutiques, etc.;
- Thérapie non traditionnelle. Pour le traitement de l'arthrose, des huttes, de la médecine nette, de l'affine et de la base de plantes, ainsi que de l'acupuncture et plusieurs recettes populaires sont utilisées;
- L'intervention chirurgicale est le seul moyen de revenir à la vie habituelle au troisième stade de la maladie. L'endoprothétique vous permet de remplacer le cartilage du patient par l'implant. Le seul inconvénient de l'opération est le coût élevé. Une procédure est suffisante pour 15 à 20 ans.
Mesures préventives
Pour que l'arthrose de l'articulation ne dérange pas la vieillesse, c'est:
- Maintenir un mode de vie sain;
- Éviter de fortes charges;
- observer un régime;
- exclure les mauvaises habitudes;
- Effectuer la gymnastique quotidiennement;
- Suivez le poids.
L'arthrose est une maladie dangereuse qui est beaucoup plus facile à prévenir. Avec la recherche en temps opportun d'un médecin et le respect des règles de traitement, le patient peut maintenir un style de vie familial pendant longtemps. L'absence de thérapie et d'auto-médication provoquent une aggravation rapide de la maladie et, finalement, de l'invalidité.






















